Treatment Methods

Stem Cell Therapy: Precision Medicine Opens a New Chapter in Life

As the core technology of regenerative medicine, stem cell therapy administers stem cells through intravenous injection, local injection (e.g., joint cavity, corpus cavernosum, uterine cavity, nucleus pulposus), arterial intervention, lumbar puncture, stereotactic brain surgery, or CT-guided precise delivery. During treatment, stem cells repair damaged tissues and reconstruct organ functions through differentiation and regeneration, secretion of active factors, modulation of the immune microenvironment, and other mechanisms, demonstrating remarkable efficacy in neurological diseases (osteoarthritis), metabolic diseases (diabetes), tumors, and other fields.

Its advantages are reflected in: precise targeting, minimally invasive safety, and long-lasting effects. Intravenous injection enables systemic repair, local injection acts precisely on lesions, and CT/lumbar puncture technology breaks through the blood-brain/spinal cord barrier to reach the central nervous system directly. Patients recover quickly, experience minimal pain, and it can be combined with traditional therapies to enhance treatment effects.

Our stem cell medical experts tailor treatment plans based on each patient's specific condition, physical status, and genetic characteristics. All plans undergo personalized assessment to achieve precise treatment, strictly adhering to medical standards to ensure safety and effectiveness.

Lumbar Puncture: Targeted Delivery for Central Nervous System Repair
Lumbar puncture stem cell transplantation is a minimally invasive procedure performed under local anesthesia, typically completed within 15 minutes. During the procedure, a thin needle is carefully inserted into the spinal canal between two lumbar vertebrae (an area free of spinal cord tissue) to ensure minimal anatomical damage. After extracting a small amount of cerebrospinal fluid (CSF), the surgeon delivers stem cells directly into the subarachnoid space. The natural CSF circulation then guides the stem cells to the spinal cord and brain, completing a full distribution cycle in approximately six hours.

Advantages of Lumbar Puncture Stem Cell Transplantation:
1. Safe with Minimal Discomfort
Performed under local anesthesia, with negligible trauma, minimal pain, and high safety.
2. Precise Delivery
Stem cells are transported directly to the central nervous system (CNS), maximizing therapeutic efficacy.

This innovative approach offers new hope for treating neurological disorders such as spinal cord injury, multiple sclerosis, and neurodegenerative diseases. If you have questions or wish to explore this advanced therapy, contact our medical team for expert guidance and a customized treatment plan designed to restore function and revitalize your neurological health.
Intravenous Stem Cell Therapy: Systemic Renewal, Revitalized Life
Intravenous (IV) stem cell therapy is a simple and convenient treatment that delivers stem cells into the bloodstream through a nutrient-rich solution. Once administered, stem cells circulate systemically and are guided by the body's innate *homing effect* to migrate toward damaged tissues. At these sites, they release a range of bioactive factors (including growth factors and immunomodulators) to reshape cellular structures, optimize organ microenvironments, and enhance functional recovery.

Advantages of IV Stem Cell Therapy:
1. Non-Invasive and Painless
Only requires standard intravenous injection – no surgery, minimal discomfort, and zero recovery downtime.
2. Fast and Accessible
The streamlined procedure is completed in minutes, ideal for patients seeking effective care.
3. Comprehensive Regeneration
Stem cells enter multiple organs and tissues simultaneously, achieving systemic repair.

IV stem cell therapy opens new horizons for treating conditions such as autoimmune diseases, degenerative disorders, and age-related functional decline. When combined with complementary therapies, it amplifies synergistic healing outcomes. To learn more or discuss a personalized treatment plan, contact our medical team for expert guidance tailored to your unique health journey.
Interventional Therapy: Precision and Efficiency, Ushering in a New Era
Interventional therapy is a minimally invasive procedure performed under local anesthesia that delivers concentrated stem cells directly to target organs through vascular access for highly targeted cellular efficacy results. The procedure typically takes 90 minutes. It is widely used to treat diseases such as liver cirrhosis, diabetes-related complications (diabetic nephropathy, diabetic foot), spinal cord injury, peripheral vascular occlusion, and cancers including liver, stomach, lung, colon, and ovarian malignant tumors.

Key Advantages of Interventional Therapy:
1. Precise Targeting, Enhanced Regeneration
Stem cells are guided to diseased tissues (e.g., liver, pancreas, kidney) with submillimeter accuracy to drive functional recovery.
2. Multi-System Therapy, Comprehensive Benefits
For diabetic patients, stem cells treat multiple organs (e.g., pancreas, liver, gastrointestinal tract, and renal blood vessels) simultaneously, addressing issues such as vascular stenosis for multifaceted recovery.
3. Minimally Invasive with Fast Recovery
Low risk, almost no pain, minimal downtime, and high patient compliance.
4. Combined Protocols, Synergistic Outcomes
Amplifies efficacy by combining with drug perfusion or other therapies, particularly impactful in oncology.

Embrace interventional therapy to start a new chapter of health. For inquiries or personalized treatment plans, contact our medical team today. We are committed to designing a tailored strategy aligned with your unique clinical needs, enabling you to regain vitality and hope.
Stereotactic Brain Cell Therapy: Precise Recovery, Renewed Vitality
Stereotactic brain cell therapy is an advanced neurosurgical intervention that utilizes a cutting-edge stereotactic navigation system to deliver stem cells to specific brain nuclei and structures with precise accuracy. This treatment is designed for neurological disorders such as cerebral palsy, stroke, traumatic brain injury, Parkinson's disease, Alzheimer's disease, and high cervical spinal cord injury.

Advantages of Stereotactic Brain Cell Therapy:
1. Submillimeter Precision, Targeted Delivery
Advanced stereotactic systems map and target lesion areas with micron-level accuracy, ensuring stem cells reach damaged neural networks to optimize therapeutic impact.
2. Multimodal Repair, Functional Recovery
Stem cells regulate immune responses, nourish neurons, stimulate angiogenesis, and rebuild the neural microenvironment to repair cells, axons, and synaptic connections, restoring neurological function.
3. Minimally Invasive with Fast Rehabilitation
Compared to traditional neurosurgery, this approach minimizes trauma, accelerates recovery, stabilizes outcomes, and reduces postoperative complications, ensuring high patient satisfaction.

Stereotactic brain cell therapy represents a breakthrough frontier in neurological care, offering hope to patients through its precision, safety, and efficacy. To explore how this innovative treatment can reignite health and vitality, contact our medical team for expert consultation and a customized treatment strategy tailored to your unique needs.
Local Injection Therapy: Precise Delivery, Optimal Regeneration
Local injection therapy utilizes advanced imaging guidance (ultrasound, CT, MRI) to pinpoint damaged tissues, then delivers stem cells or biological agents directly into affected organs in a minimally invasive manner. This approach leverages stem cells' unique ability to repair damage, regulate immunity, and enhance blood flow. Applications include:
- Stereotactic brain cell therapy for cerebral palsy, stroke, brain injury, and Parkinson's disease.
- Local ovarian injection for ovarian dysfunction.
- Intracavernous injection for male erectile dysfunction.
- Intramuscular injection for muscular degenerative diseases.

Advantages of Local Injection Therapy:
1. Submillimeter Precision
Imaging-guided navigation ensures stem cells reach exact lesion sites, i.e., joint cavities, myocardial tissue, neural networks, for enhanced ultra-targeted treatment.
2. High Therapeutic Density
Maximizes stem cell concentration at injury sites, accelerating differentiation and paracrine factor secretion for rapid tissue repair.
3. Minimally Invasive with Fast Recovery
Performed with fine needles under local anesthesia, minimizing trauma and downtime while ensuring patient comfort.
4. Versatile Applications
Effective for osteoarthritis, myocardial infarction, neurological injuries, with expanding potential in regenerative medicine.

Local stem cell injection redefines precision medicine, offering transformative solutions for complex conditions. As technology advances, this approach promises to unlock new frontiers in rehabilitation. For personalized insights or treatment plans, consult our medical team to explore how this innovative therapy can restore function and hope.
Intracavernous Stem Cell Injection: Reinvigorating Masculinity, Restoring Vitality
Erectile dysfunction (ED) is a prevalent male health issue characterized by the persistent or recurrent inability to achieve or maintain an erection sufficient for satisfactory sexual activity. Our stem cell therapy for ED involves precise intracavernous injection of stem cells under local anesthesia, with injection sites customized based on the patient's specific anatomy and physiological factors.

Advantages of Intracavernous Stem Cell Therapy:
1. Minimally Invasive and Safe
Performed under local anesthesia, with negligible trauma and reliable safety.
2. Long-Term Regenerative Outcomes
Stem cells address the root cause by repairing damaged vascular and nerve tissue, providing sustained functional improvement.
3. Clinically Significant Enhancement
Promotes angiogenesis, restores neural signaling, and improves erectile rigidity and endurance.

With breakthroughs in regenerative medicine, stem cell therapy is redefining the ED treatment paradigm. If ED impacts your quality of life, consult our urology and regenerative medicine specialists. We will design a personalized protocol to help you regain confidence, vitality, and intimacy.
Intrauterine Adhesion Stem Cell Therapy: Rekindling Fertility
Intrauterine adhesion (IUA), also known as Asherman's syndrome, is caused by trauma to the uterus (postpartum or non-puerperal), damaging the basal layer of the endometrium and leading to partial or complete obstruction of the uterine cavity. Symptoms include irregular menstruation, infertility, and recurrent miscarriage due to endometrial fibrosis. As an advanced regenerative medicine approach, stem cell therapy now offers breakthrough potential for restoring uterine health and fertility.

How It Works:
Stem cells are injected directly into the uterine cavity to:
- Repair and regenerate damaged endometrial tissue.
- Reduce inflammation and fibrosis through anti-inflammatory and anti-fibrotic effects**.
- Stimulate angiogenesis to rebuild blood vessels and improve blood flow.
- Restore a healthy uterine environment, enhancing fertility.

Advantages of IUA Stem Cell Therapy:
1. Anesthesia-Free with Minimal Discomfort
No anesthesia required, eliminating associated risks. The procedure is gentle, ensuring a positive patient experience.
2. Fast and Convenient
Short treatment courses (outpatient-based) are ideal for busy schedules – no hospitalization needed.
3. Repeatable and Effective
Tailored repeated injections optimize outcomes, significantly improving endometrial quality and pregnancy rates.
4. High Safety
Low risk of complications, supported by rigorous clinical protocols.

Stem cell therapy redefines IUA treatment as a safe, effective, and patient-centered solution. If intrauterine adhesions are affecting your fertility journey, consult our expert medical team. We will design a personalized plan to help you restore reproductive health and reignite your hope for conception.
Intra-Articular Stem Cell Therapy: Restoring Joints, Regaining Mobility
Osteoarthritis (OA) is the most prevalent form of arthritis, progressively affecting joints (especially in older adults) and causing pain, stiffness, swelling, limited mobility, and joint deformity. Common symptoms include crepitus (joint grinding), effusion, and dysfunction. Stem cell therapy for OA involves injecting stem cells directly into damaged knee joints to stimulate the regeneration of autologous chondrocytes and osteocytes, reduce inflammation, and promote cartilage repair.

Advantages of Intra-Articular Stem Cell Therapy:

1. High Safety
Stem cells are derived from the patient's own body (autologous) or rigorously screened donors to ensure biocompatibility and safety.
2. Minimally Invasive and Repeatable
Local injections minimize trauma and downtime. Repeat treatments can be customized to enhance therapeutic outcomes.
3. Fast and Sustained Relief
Rapid symptom relief post-treatment, coupled with long-term tissue repair.

With advances in regenerative medicine, stem cell therapy promises to revolutionize OA management. If osteoarthritis limits your freedom of movement, consult our specialists to develop a personalized plan to rebuild joints, alleviate pain, and restore an active life.
Intradiscal Stem Cell Therapy: Precise Repair, Revitalizing Spinal Discs
Intradiscal stem cell therapy is an innovative regenerative approach that provides a safe and effective solution for degenerative disc diseases such as lumbar disc herniation and cervical disc herniation. By injecting stem cells directly into the nucleus pulposus (the gel-like core of the spinal disc), this therapy stimulates disc repair and regeneration. Stem cells release anti-inflammatory factors to reduce inflammation in the disc and surrounding tissues, improve nutrient supply, restore disc metabolism, alleviate pain, halt further degeneration, and enhance disc height, elasticity, and spinal mobility.

Advantages of Intradiscal Stem Cell Therapy:
1. Minimally Invasive with High Precision
Targeted delivery with minimal trauma, fast recovery, and low risk of complications.
2. Long-Term Structural Repair
Addresses the root cause by repairing disc tissue and halting disease progression.

Patients considering this therapy should undergo thorough consultation and diagnostic imaging (e.g., MRI) to ensure eligibility. If degenerative disc disease is affecting your quality of life, contact our medical team for expert evaluation and a personalized treatment plan to restore spinal vitality and functional freedom.
Bronchoalveolar Lavage (BAL): Precise Delivery for Enhanced Lung Repair
Bronchoalveolar lavage (BAL) is a minimally invasive diagnostic and therapeutic technique performed via bronchoscopy, widely used for diagnosing respiratory diseases and delivering stem cell therapy. It is commonly applied in lung diseases such as chronic obstructive pulmonary disease (COPD), pulmonary fibrosis, acute respiratory distress syndrome (ARDS), pulmonary infections (e.g., Covid-19), and lung cancer. The procedure involves infusing sterile saline into the lungs, then retrieving the lavage fluid to obtain samples of lung cells and secretions. Additionally, it serves as a precise delivery route for stem cell therapy. Stem cells activate lung tissue regeneration in damaged areas, promote tissue repair and regeneration, enhance interstitial cell activity, increase functional vascular networks, and restore normal gas exchange.

Advantages of Bronchoalveolar Lavage:
1. Precise Delivery, Targeted Repair:
Stem cells are delivered directly to injured lung areas via BAL, significantly improving treatment accuracy and efficacy.
2. Minimally Invasive, Multifaceted Benefits:
Advantages offered by BAL include minimal invasiveness, fast recovery, precision, and repeatability.

Before undergoing bronchoalveolar lavage, patients should receive thorough consultation and evaluation to ensure treatment safety and effectiveness. If you have additional questions about the role of BAL in stem cell therapy or need further guidance, contact our medical team. We are committed to providing expert advice and personalized treatment plans tailored to your needs.
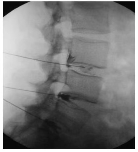
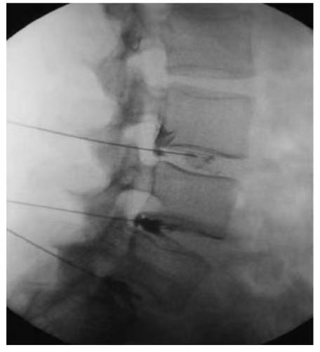
CT-Guided Spinal Injection: Precise Healing, New Hope

Our expert team has pioneered CT-guided spinal injection technology, designed specifically for stem cell therapy in the treatment of spinal cord injuries. During the procedure, real-time CT imaging generates dynamic 3D visuals of the spine, allowing surgeons to rotate and analyze the fracture site in multidimensional space. Through healthy anatomical pathways, the needle is carefully advanced, avoiding bony obstacles. As the surgeon guides the needle toward the spinal cord, the system continuously updates imaging to verify the trajectory angle and spatial relationship between the spinal cord and vertebrae, ensuring absolute precision and safety. This technology is often combined with lumbar puncture or intravenous stem cell therapy to enhance efficacy.

Advantages of CT-Guided Spinal Injection:
1. Minimally Invasive and Safe
No major incisions required. Performed under local anesthesia with minimal trauma, blood loss, and postoperative pain, enabling rapid recovery.
2. Submillimeter Precision
CT guidance allows real-time measurement and targeting of injury sites with unparalleled accuracy.

CT-guided spinal injection offers a groundbreaking, safe, and effective solution for patients with spinal cord injuries, significantly improving clinical outcomes and quality of life. If you or a loved one is struggling with a spinal cord injury, consult our specialized medical team today. Together, we will develop a personalized treatment plan to reignite hope and empower your journey toward regaining independence.


Traditional Chinese Medicine (TCM) Treatment Methods

In the world of traditional Chinese medicine, diseases are signals sent by the human body, and our TCM experts are the wise interpreters of these signals. They use a variety of therapies passed down for thousands of years to tailor personalized treatment plans for each patient, making treatment not only effective but also full of warmth.

When you suffer from cervical spondylosis, acupuncture and moxibustion experts will use thin silver needles to precisely stimulate acupoints, dredge meridians, and relieve pain; for chronic gastritis, TCM practitioners will prepare a formula to soothe the stomach and harmonize the middle energizer, combining traditional ancient prescriptions with modern needs to create a warm and medicinal aroma; Tuina therapists use gentle techniques to relieve muscle tension, allowing the body to restore balance and comfort.

We attach great importance to the concept of "preventing disease before it occurs". Through physical identification, seasonal conditioning, and moxibustion healthcare, we help you intervene in a timely manner when diseases first appear. Whether it is acupuncture and moxibustion, massage, cupping, or TCM conditioning, our TCM experts will embark on a journey of physical and mental harmony with professionalism and care.

Acupuncture: Unlocking Health and Restoring Physical Balance
As the cornerstone of Traditional Chinese Medicine (TCM), acupuncture has a history of thousands of years and is now recognized worldwide as a respected therapeutic practice. By stimulating specific acupoints, this ancient art regulates the flow of "Qi" (vital energy) and blood, activates the body's innate healing ability, and effectively addresses various diseases while alleviating symptoms.

Acupuncture has been clinically proven to treat a wide range of conditions, including chronic pain, cervical spondylosis, lumbar disc herniation, migraines, insomnia, and digestive system disorders. During treatment, licensed practitioners tailor therapy to individual constitutions and conditions, precisely targeting acupoints with sterile, disposable needles to ensure a safe and comfortable experience. Modern research validates acupuncture's ability to stimulate endorphin release, enhance local blood circulation, and regulate nervous system function, providing significant anti-inflammatory, analgesic, and immunomodulatory benefits.

Our expert acupuncture team combines rich clinical expertise with time-honored meridian theory and modern medical knowledge to design personalized treatment plans. Whether managing acute pain or chronic illnesses, acupuncture offers a natural, safe, and effective method to restore harmony between body and mind.
Therapeutic Massage: Harnessing Hands to Awaken the Body's Innate Healing Ability
TCM therapeutic massage is rooted in a 2,000-year heritage and is a holistic practice that activates the body's self-repair mechanisms by skillfully manipulating meridians, acupoints, and muscle groups. By regulating the flow of "Qi" (vital energy) and blood, it restores physical balance. Our practitioners integrate TCM principles with modern anatomy, adopting techniques that balance firmness and gentleness to target problem areas with precision – relieving pain, enhancing mobility, and revitalizing function.

Clinically effective for conditions such as cervical spondylosis, lumbar disc herniation, frozen shoulder, etc., therapeutic massage utilizes kneading, pressing, rolling, and grasping techniques to release muscle tension, enhance muscular circulation, and reduce inflammation. For those experiencing suboptimal health, it also coordinates organ systems, alleviates fatigue, and boosts immunity.

Each treatment follows a personalized protocol, adapted to the pressure of each patient's constitution and symptoms to ensure safety and effectiveness. Whether addressing chronic pain or maintaining daily health, TCM therapeutic massage combines professional proficiency and compassionate care to foster holistic well-being.
Catgut Embedding Therapy: Sustaining Long-Lasting Vitality for Health
Catgut embedding therapy is an innovative fusion of traditional acupuncture and modern medicine. By implanting absorbable medical catgut into specific acupoints, this therapy provides continuous stimulation to meridians, delivering long-lasting therapeutic effects. It is particularly effective for chronic diseases, pain management, and constitutional regulation, such as chronic gastritis, cervical spondylosis, obesity, etc.

During treatment, TCM experts select precise acupoints based on your constitution and diagnosis, embedding catgut just below the skin. As the catgut gradually dissolves, it provides continuous, gentle stimulation to regulate *Qi* (vital energy) and blood flow, enhancing the body's self-repair ability. Compared to traditional acupuncture, this method extends therapeutic effects – lasting 2-4 weeks – minimizing the need for frequent visits.

Safe, minimally invasive, and scientifically grounded, catgut embedding therapy combines the precision of acupuncture with long-term regulatory benefits, making it an optimal choice for managing chronic diseases. Our licensed TCM practitioners develop personalized treatment plans with expertise and professional care, enabling you to regain lasting health and vitality.
Cupping Therapy: Restoring the Body's Lightness and Vitality
Cupping therapy is a precious external treatment of Traditional Chinese Medicine (TCM) that uses negative pressure to stimulate meridians and acupoints, enhance the flow of "Qi" (vital energy) and blood circulation, eliminate dampness, relieve cold stagnation, relax muscles and joints. Our TCM experts skillfully combine traditional fire cupping with modern vacuum cups, adopting "moving cupping" (dynamic sliding), "fixed cupping" (stationary placement), or "flash cupping" (rapid application/removal) to tailor efficacy and comfort to your constitution and condition.

Cupping is not only a treatment but also a holistic revitalization. By activating the body's self-repair mechanisms, it helps restore your natural balance. Let this time-honored therapy, refined over thousands of years, be your trusted ally in achieving lasting health.
Moxibustion Therapy: Igniting the Body's Self-Repair Ability with Warmth
Moxibustion is a noble jewel of Traditional Chinese Medicine (TCM) that utilizes the gentle warmth of mugwort (Artemisia argyi) to penetrate acupoints and meridians, harmonizing "Qi" (vital energy) and blood while awakening the body's innate healing potential. Our TCM experts apply this 2,000-year-old therapy to conditions such as cold-damp stagnation, spleen deficiency, weakened immunity, providing precise yet nurturing care.

By burning moxa sticks near targeted acupoints, moxibustion delivers deep, soothing heat to eliminate internal cold, stimulate blood flow, and relieve pain and fatigue. Whether alleviating stiffness from chronic arthritis or addressing menstrual irregularities related to uterine cold, this therapy offers gentle yet transformative relief.

Personalized protocols designed by our experts integrate modern medical insights with TCM principles to ensure efficacy and comfort. During treatment, the earthy aroma of mugwort and its enveloping warmth create a calming sensory experience, fostering profound relaxation for both body and mind.
TCM Herbal Therapy: The Perfect Harmony of Nature and Science

TCM herbal therapy lies at the core of Traditional Chinese Medicine, integrating thousands of years of wisdom with modern technology to provide personalized holistic health solutions. Our team of TCM experts masters the essence of "holistic diagnosis and personalized treatment", adopting the four diagnostic methods (inspection, listening/smelling, inquiry, and palpation) to accurately identify your constitution and root causes, developing tailored treatments for your unique needs.

Each herbal formula is derived from natural botanical medicines, carefully selected and scientifically combined to maximize efficacy and safety. Whether addressing chronic diseases, enhancing immunity, or alleviating suboptimal health conditions, TCM herbs gently restore the body's balance. We utilize state-of-the-art decoction equipment to preserve the essence of medicinal ingredients while offering modern conveniences such as granules, pills, and other forms to suit contemporary lifestyles.

In addition to treating diseases, TCM herbal therapy focuses on regulating "Qi" (vital energy) and blood, balancing "Yin" and "Yang", to reactivate your vitality. Under the guidance of science, let the bounty of nature be your companion for lifelong health.


Have any questions?
Please contact us, and our team will be happy to assist you.
Make an Appointment Online Consultation